头部治疗利器--头体一体伽玛刀
自1968年世界第一台伽玛刀在瑞典投入运行以来,经过50多年的发展,伽玛刀已经是神经外科一项非常成熟的、安全有效的技术。全世界已有200多万患者受益于伽玛刀治疗。上世纪九十年代初,在我国神经外科界泰斗王忠诚院士的推动下,伽玛刀技术引入我国。借力于国产设备的加持,伽玛刀在我国得到了飞速的发展。不开刀,治脑瘤,深入人心。伽玛刀的出现,不仅为众多的病患解除了痛苦,也改变了许多颅脑疾病的治疗模式。伽玛刀治疗室是我院重点特色科室之一,居同期广东省各伽玛刀治疗中心前列,为许多脑肿瘤患者免除了手术的创伤和痛苦。
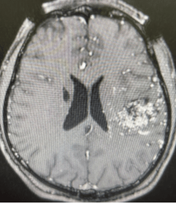
病例分享
病例,患者男性,26岁,2018年因癫痫发现脑动静脉畸形,行介入栓塞治疗。因仍有癫痫发作,来我院要求伽玛刀治疗。

伽玛刀是个跨界的学科,更是一个高科技产物。它需要神经外科专家、肿瘤放射治疗专家、医学影像专家和医学物理专家的通力协作,方能为患者提供专业的服务;更需要有配套的、先进的医疗设备,才能为患者保驾护航。
我院伽玛刀治疗室拥有一支经验丰富、为患者兢兢业业服务的精英团队,既有造诣深厚的资深专家,又有年富力强的中青年骨干。我们严守希波克拉底誓言,以普渡众生的慈悲胸怀,对待每一位求医的患者,严格把握伽玛刀适应症和禁忌症,始终将患者的利益放在第一位,不夸大疗效。科室制定了严格的放射外科治疗流程和规章制度,以严谨、负责的态度对待每一位患者。通过详细了解病史,多学科病案讨论,为每一位患者提供最优的个体化治疗方案。我们严格把控治疗过程中的每一个环节,关注每一个细节,为患者提供最规范的伽玛刀治疗。
我院拥有精准度达亚毫米级的、最新型的立体定向放射治疗系统(伽玛刀),可以为患者提供精准的伽玛刀治疗;拥有最先进的PET-CT,可以做详细的术前检查。工欲善其事,必先利其器。正是有了这些利器,我们才能信心满满的为患者提供优质的服务,才能取得良好的治疗效果。
在我们这里,患者既能与专家进行一对一的详细问诊,也能享受到“全明星”专家阵容的多学科团队会诊,获得最优的个体化治疗方案,更能享受到我们提供的一站式、全方位定制式服务。“以患者为中心”是我们一切工作的宗旨。
过去的经验让我们感知成功的自豪,未来精进是我们不懈的追求。凝心聚力,精益求精!
地址:广州市白云区石井街兆丰路159号
8:30-12:30 13:30-17:30
联系电话:020-86632188