3年没体检,长出9cm肿瘤!医生提醒:警惕“沉默杀手”!
没有任何症状,却发现体内“悄无声息”地长出了一个9厘米大的肿瘤,随时可能出现破裂出血,甚至大出血休克危及生命。
近日,我院泌尿外科邱云桥教授带领罗安文主治医师、詹一邦主治医师,成功为一位巨大肾错构瘤患者行“右肾巨大错构瘤切除保肾术”,手术过程顺利,术后患者恢复良好。

1周前体检,检查出巨大肿瘤
64岁的郑女士(化名)在今年体检中,意外发现右肾有一个长达9cm的“肾错构瘤”。郑女士称,她此前从来没有腰腹疼痛等不适症状,每天多次往返8楼楼梯。上一次体检是在2021年,当时并未检出任何患病迹象。
郑女士有高血压,长期口服多种降血压药物,右肾错构瘤巨大,且担心手术风险,给患者及家属心里埋上阴影。患者及家属得知我院泌尿外科邱云桥教授团队对疑难性泌尿、肾脏肿瘤诊治方面有丰富的经验,毅然决定于来我院求医。
患者入院后,邱云桥教授团队对其进行了全面细致地检查及评估后认为,患者错构瘤诊断基本明确,最终诊断仍以病理结果为准。
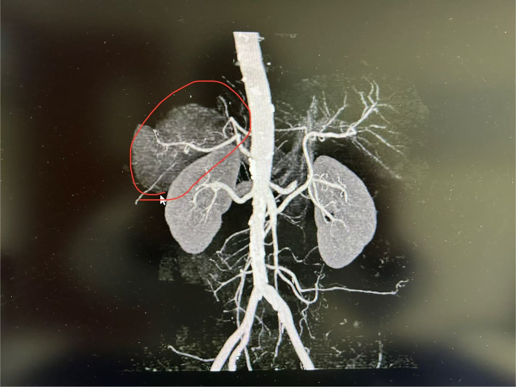
一般超过7CM的错构瘤多采取开放手术切除,该患者肿瘤超过9CM,邱教授建议采用后腹腔镜手术切除,为了能在安全切除肿瘤的同时保住肾脏,邱云桥教授团队对患者CT影像学信息进行了肾脏及血管三维重建。
据邱云桥教授介绍,郑女士的肿瘤在肾上极包绕肾动脉、静脉,而且还向外压迫下腔静脉、肠管、肝脏和胆囊。手术风险很大,稍有不慎就会造成血管损伤大出血、丧失肾脏和损伤周围重要脏器等严重并发症。

邱教授团队针对如何从复杂的肾周围血管丛中分离切除肿瘤又不损伤血管,如何完整切除巨大肿瘤又不损伤周围脏器,如何减少肾脏缺血时间更好保护肾功能等等棘手问题制定了详细的解决方案。
手术当天,我院麻醉科陈文慧主任带领麻醉团队做好充分麻醉后,邱云桥教授带领罗安文主治医师、詹一邦主治医师应用后腹腔镜手术,通过3个1cm的刀口,1个0.5厘cm的刀口,泌尿外科手术团队在麻醉科的强有力支持下,将肾动脉主干及各分支、肾静脉主干及各分支、肾盂肾盏输尿管与肾门肿瘤分离开来,并将巨大肿瘤与周围脏器大血管分离开来。

尽管肿瘤与腹腔粘连严重,但在邱云桥主任的精湛技术下,快速完整切除肿瘤,手术非常顺利,成功保肾。巨大肿瘤被完整彻底切除,肾动脉阻断肾缺血时间在30分钟左右,完整拿出9cm的肾错构瘤,术中出血约50ml,无需输血,无血管或脏器损伤等并发症。
邱云桥教授介绍称,如果选用传统开刀的方法,伤口估计要有20到30cm长,然而使用后腹腔镜技术,实现微创,成功完成这场难度系数和风险系数都很高的手术。
科普:
建议每年做一次肾脏B超检查,4cm以上肾错构瘤应尽快切除
邱教授表示,肾错构瘤又称肾血管平滑肌脂肪瘤,是由异常增生的血管、平滑肌及脂肪组织按照不同比例构成的肾脏良性肿瘤,但它也是体内一枚定时炸弹,女性发病率高于男性。
错构瘤在肾脏内进行性增大不但破坏正常的肾组织结构、影响肾功能,而且随着肿瘤的增大和血供的增加,错构瘤可能会突然出现破裂出血,患者会出现腰腹疼痛和血尿等症状,严重的大出血患者可以在腹部触及到包块,甚至大出血休克危及生命。
因为肾错构瘤通常没有症状,不做影像学检查难以发现,往往破裂出血时才出现腰腹疼痛、休克等症状表现,如同“沉默的杀手在毫无知觉中突然来袭危害生命健康安全。根据指南推荐,一般超过4CM的错构瘤需要手术切除。
地址:广州市白云区石井街兆丰路159号
8:30-12:30 13:30-17:30
联系电话:020-86632188